
Авторская колонка профессора Марины Викторовны Маевской о печени, еде и образе жизни.
Марина Маевская — доктор медицинских наук, профессор кафедры пропедевтики внутренних болезней лечебного факультета Сеченовского университета, вице-президент Российского общества по изучению печени (РОПИП), член правления международной ассоциации по изучению печени (IASL), практикующий гастроэнтеролог и гепатолог.
Контакты:
Поражение печени у пациентов с коронавирусной инфекцией может быть вызвано непосредственно вирусом (Sars-Cov-2).…
Если желчнокаменная болезнь сопровождается болевыми приступами, воспалением желчного пузыря (калькулезным…
За последние годы учёные обнаружили, что жировая ткань содержит гормоны (эстроген, лептин, резистин)…
Профессор Сеченовского университета, врач-гастроэнтеролог-гепатолог Марина Викторовна Маевская поделилась…
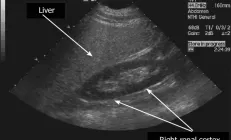
Как правило, лишний жир в печени обнаруживают случайно, при обращении пациента к врачу по самым разным…
При гемохроматозе железо, попадающее в организм вместе с пищей, в излишних количествах всасывается в…
Цирроз и стеатоз печени часто сопровождаются трудностями со сном. В основном речь идет об инсомнии, т.…
НАЖБП является самостоятельным фактором риска сердечно-сосудистых заболеваний и их тяжелых осложнений…
Врач-гастроэнтеролог-гепатолог, профессор Сеченовского университета Марина Викторовна Маевская объясняет,…
Во время апноэ дыхательные пути сужаются, и это приводит к дефициту кислорода и повышению концентрации…
При целиакии страдает не только кишечник, но и печень. Существует даже глютеновый гепатит, который проявляется…
Некоторые антибиотики обладают способностью вызывать нежелательные изменения со стороны печени, т.е.…
Доказано, что стеатоз печени и стеатогепатит могут как предшествовать, так и способствовать развитию…
Окружность талии — параметр, который входит в состав популярного калькулятора для диагностики стеатоза…
СРК и НАЖБП имеют ряд перекрещивающихся факторов риска и причин развития. Так, например, целый ряд научных…
На сегодняшний день научно доказано, что только диета средиземноморского типа приносит здоровью человека…
Если в печени длительное время протекает хроническое воспаление, то в какой-то момент запускаются процессы…
О соотношении пользы и вреда гипокалорийной, кетогенной и средиземноморской диет рассказывает профессор…
Стеатоз печени связан с риском развития гепатоцеллюлярного рака (ГЦР), т.е. первичного рака печени. Опухоли…
Классическим примером потенциального врага печени является парацетамол. Он входит в состав практически…
Билиарный панкреатит обычно требует госпитализации. Лечение начинают с назначения голода (его цель —…
Характерными симптомами холестаза являются желтуха, тёмная моча, стул светлого цвета и генерализованный…
Высокая распространённость ГЭРБ приводит к увеличению распространённости пищевода Барретта — заболевания,…
Связь стеатоза печени и гастроэзофагеального рефлюкса не случайна. В их происхождении есть общие факторы…


 
       


.png)