Возникновение данного осложнения острого аппендицита происходит на 5-6 сутки заболевания и связано с расплавлением стенки органа и истечением гноя за его пределы в область уже сформированного вокруг него инфильтрата (плотного отека).
Можно разделить все абсцессы на первичные, развитие которых связано с патологическими изменениями внутри аппендикса или около него, возникают до оперативного лечения; и вторичные, расположенные на некотором отдалении от самого отростка. Формирование последних связано с распространением патологии на здоровые ткани области печени, правой почки и диафрагмы. Также вторичные гнойники могут возникать и после аппендэктомии, в том числе, при отсутствии должного ухода после проведения хирургического лечения.
Так же гнойники классифицируются в зависимости от расположения, которого зависит от того, где лежит червеобразный отросток. Гнойное образование может находится между петлями кишечника, в подвздошной или надлобковой областях, в малом тазу, под печенью или за слепой кишкой.
Этиология
Основной причиной начала данного осложнения служит отсрочка в лечении острого аппендицита. Это бывает как при позднем обращении самого заболевшего к врачу, так и при дефектах в процессе установления диагноза на до- и госпитальном этапе. Сложность постановки диагноза может быть связана с нетипичным положением червеобразного отростка и схожестью симптомов этого заболевания с множеством других, поэтому при лечении таких пациентов всегда должна существовать хирургическая настороженность в плане развития осложнений.
В постоперационном периоде среди причин образования данной патологии можно выделить главные:
- Высокая заразность микроорганизмов и их устойчивость к антибактериальным препаратам, используемым в лечении
- Ослабление иммунных механизмов
- Наличие грибковых, аутоиммунных, инфекционных заболеваний до начала операции. Появление острой или обострение хронической патологии соседних органов
- Нарушение техники хирургического вмешательства и правил асептики и антисептики
- Отсутствие должного послеоперационного ухода, в том числе адекватного промывания места операции внутри полости живота.
Патогенез
Образование плотного отека вокруг отростка слепой кишки — это защитный механизм при возникновении патологии. Брюшина выполняет барьерную функцию и препятствует распространению воспаления в полости живота. За счет образования выпота, спаек и сращения аппендикса с участками кишечника, сальником и брюшиной воспаление приобретает очаговый характер, находясь только в самом больном органе. Аппендикулярный инфильтрат формируется около червеобразного отростка на 2-4 день от начала его воспаления. При своевременно начатой терапии он может рассосаться после стихания явлений воспаления отростка. Однако при разрушении органа на фоне неадекватного лечения или снижения иммунитета, инфекция выходит за его границы с образованием гнойника. Другим механизмом образования абсцесса может быть ограничение участка воспаления брюшины.
Симптоматика
Проявления аппендикулярного абсцесса возникают на 5-6 день от начала появления симптомов острого аппендицита. Симптоматика этих двух заболеваний имеет общие черты, однако существуют специфические симптомы, при возникновении которых следует заподозрить присоединение данной патологии:
- Астенический синдром, проявляющийся в сонливости, общей слабости, вялости
- Лихорадка до 39-40 Со с ознобом, сильной потливостью (при остром аппендиците температура тела, как правило, не поднимается выше 37-38 Со)
- Учащение ритма сердца
- Снижение аппетита, сопровождающееся тошнотой со рвотой
- Интенсивные приступообразные пульсирующие боли в области живота, не проходящие даже после приема болеутоляющих средств. Боль усиливается при покашливании и движении
- Отмечается вздутие живота, метеоризм, нарушение стула, в некоторых случаях вплоть до неполной кишечной непроходимости (если абсцесс находится между петлями кишки и воспаление распространяется вдоль них, сдавливая просвет)
- Учащенное мочеиспускание, боли при опорожнении кишечника и наличие слизи в кале (при тазовом расположении гнойника).
Диагностика
Обследование пациентов проводится в стационаре.
При сборе анамнеза необходимо уточнить не появилось ли данное ухудшение состояния спустя 5-6 дней от появления жалоб, присущих для острого аппендицита (боли в животе с переходом в вправо вниз, рвота, как правило, 1 раз, повышение температуры тела до 37-38 Со), особенно после стихания первых признаков в виде снижения силы болевых ощущений и улучшения общего самочувствия.
При осмотре обращает на себя внимание бледность пациента, на языке виден густой налет. Кожные покровы горячие, влажные. Живот умеренно вздут, при этом на ограниченном его участке при пальпации определяется болезненное неподвижное плотноватое образование, в его центре можно обнаружить размягчение. Если не сильно надавить пальцами на живот, а потом резко отдернуть руку, то боль усилится в месте расположения гнойника.
При проведении влагалищного или прямокишечного пальцевого исследования в ряде случаев можно пропальпировать болезненное провисание стенок указанных органов.
В анализе крови обращает на себя внимание рост таких показателей как СОЭ и лейкоциты.
При проведении обзорной рентгенографии брюшной полости можно обнаружить однородную тень справа с уровнем жидкости в этой зоне, или смещение петель кишечника в сторону срединой линии, а также их вздутие.
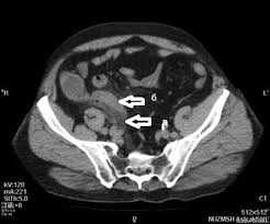
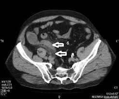
УЗИ диагностику проводят с целью уточнения места расположения и размеров абсцесса. Гнойник определяется как образование пониженной плотности неправильной формы, в просвете которого может быть виден гной.
Дифференциальная диагностика
Указанную патологию необходимо различать с опухолью слепой кишки, разлитым гнойным воспалением брюшины, перекрутом кисты яичника, некоторые сходные симптомы, особенно при нехарактерном расположении придатка и, следовательно, абсцесса, характерны также для многих заболеваний желудочно-кишечной системы, почек и половых органов (у женщин).
Лечение
Важно приступить к лечебным мероприятиям как можно раньше, так как возможно возникновение такого осложнения гнойника червеобразного придатка, как его прорыв в брюшную полость и переход в разлитую форму гнойного перитонита.
До поступления в больницу не рекомендуется самостоятельный прием болеутоляющих и препаратов слабительного действия. Нельзя греть болезненное место, что приведет к прогрессированию заболевания и даже к прорыву гнойника. В лучшем случае до начала врачебной помощи можно приложить холодный компресс к животу и обеспечить больному полный покой.
Единственная адекватная тактика лечения заключается в проведении экстренного хирургического вмешательства с обязательным курсом антибактериальной терапии в послеоперационном периоде.
Вскрытие гнойника проводят, в зависимости от его расположения, либо через стенку влагалища (у женщин)/прямой кишки (у мужчин) - если он находится в малом тазу, либо через брюшную стенку под наркозом. Затем обязательно устанавливают двупросветную трубку для отведения образующейся после операции жидкости и промывания антисептическими растворами в период выздоровления. Здесь основным "неудобством" для больного является наличие открытой раны, за которой нужен тщательный уход.

Удаление самого измененного аппендикса проводят в случае, если доступ к нему не ограничен и нет риска попадания гноя в брюшную полость. В таком случае операцию лучше сделать по прошествии 1,5-3 месяцев, что считается обязательным этапом.
В послеоперационном периоде необходимо каждый день промывать обеззараживающим раствором отводящую трубку в целях недопущения появления осложнений. Находящемуся на лечении показан постельный режим, так же надо придерживаться диеты Стол №1. Для лучшего выздоровления не лишним будет проведение физиопроцедур.
В ряде случаев можно установить такую трубку-дренаж чрезкожно под контролем УЗИ с использованием местного обезболивания.


Авторизуйтесь, чтобы проголосовать: