Болезнь Гиршпрунга (аганглиоз толстого кишечника, врождённый мегаколон) - это врожденное недоразвитие толстого кишечника, связанное с нарушением строения нервных узлов (ганглиев), которые отвечают за проведение импульса на мышечные структуры, а, следовательно, сокращение толстой кишки.
Ганглии являются образованиями, состоящими из нервных клеток. Нарушение микроструктуры ганглиев, отсутствие достаточного количества нервных клеток в них и является причиной болезни Гиршпрунга. Степень недоразвития может быть разной - от полного аганглиоза до частичного нарушения функций нервных узлов. Отсутствие сокращения части толстого кишечника приводит к застою каловых масс, невозможности их продвижение ниже - к выходу из кишечника. Поэтому основное проявление заболевания - это стойкие, тяжёлые запоры.
ЭТИОЛОГИЯ БОЛЕЗНИ ГИРШПРУНГА
В настоящее время точная причина возникновения патологии не установлена. Достоверно известно, что во время беременности у ребёнка нарушается формирование нервных структур толстого кишечника. Поэтому всегда заболевание является врождённым, то есть появившимся во время внутриутробного развития.
Связано это с генетической предрасположенностью: прослеживается явная наследственная зависимость. Также причиной развития болезни может стать мутация генов, ответственных за формирование нервных структур толстого кишечника. Стоит отметить, что у мальчиков болезнь встречается в 4 и более раз чаще, чем у девочек.
КЛАССИФИКАЦИЯ БОЛЕЗНИ ГИРШПРУНГА
По месту и объёму поражения:
- Ректальная (поражение прямой кишки, 25% случаев);
- Ректосигмоидальная (поражение сигмовидной кишки, 70% случаев)
- Сегментарная (поражение одного или нескольких сегментов ректосигмоидном переходе или сигмовидной кишке, 1,5% случаев);
- Субтотальная (поражение левой или правой части толстой кишки, 3% всех случаев);
- Тотальная (поражение всей толстой кишки и иногда части тонкой, 0,5% случаев).
По уровню компенсации:
- Компенсированная: запоры не влияют на качество жизни.
- Субкомпенсированная: формируется при среднетяжелых формах, кроме запоров возникает хроническое расстройство питания, хроническая интоксикация. Их признаки: снижение веса, авитаминоз, полидефицитные состояния. Для опорожнения кишечника требуется дополнительная помощь в виде клизм, свечей, слабительных.
- Декомпенсированная - самая тяжёлая. Формирующаяся со временем кишечная непроходимость. Требует постоянного механического опорожнение кишечника с помощью клизмы. Дистрофические и интоксикационные проявления при этой форме наиболее выражены.
КЛИНИЧЕСКИЕ ПРОЯВЛЕНИЯ БОЛЕЗНИ ГИРШПРУНГА
Болезнь Гиршпрунга главным образом характеризуется запорами - тяжелыми, длительными, резистентными к терапии. Аганглиоз всегда проявляется с рождения. Механизм формирования каловых завалов в толстом кишечнике в результате нарушение сократительной способности части толстой кишки является накопительным. То есть клиническая картина ухудшается с течением времени.
Другие проявления болезни Гиршпрунга
- неустойчивый стул – запор - понос, при стойкой склонности к запору;
- боли по ходу толстого кишечника, избыточное газообразование, колики и вздутие живота;
- признаки интоксикации, тошнота, рвота, слабость. Интоксикация обусловлена задержкой токсичных отходов жизнедеятельности в кишечнике;
- при пальпации в животе определяются каловые камни. Это объемные образования уплотненного кала, которые накапливаются в растянутом, атоничном толстом кишечнике.
Гетерохромия - мозаичная, неровная окраска радужки одного глаза. Она обусловлена нарушением обмена пигмента.
ДИАГНОСТИКА БОЛЕЗНИ ГИРШПРУНГА
Врач проводит осмотр и опрашивает родителей маленького пациента (болезнь обнаруживается в детском возрасте, так как появляется сразу после рождения). Специалиста интересует, как давно появились запоры, их длительность и наличие подобных проблем у близких родственников. При пальпации обнаруживается увеличенная, уплотнённая толстая кишка. Пальцевое исследование показывает, что прямая кишка пустая даже во время долгого запора.
Согласно приказа Минздравсоцразвития России № 73 от 2006 г.[7] и № 362 от 2007 г.[8] обязательными диагностическими мероприятиями являются:
- биопсия - инвазивное извлечение небольшого участка ткани измененного кишечника с рассмотрением его под микроскопом, гистологическим подтверждением отсутствия достаточного количества нервных клеток в нервных путях;
- УЗИ кишечника;
- аноректальная манометрия - даёт сведения о тонусе аноректального мышечного комплекса и скоординированности сокращений прямой кишки и сфинктеров ануса;
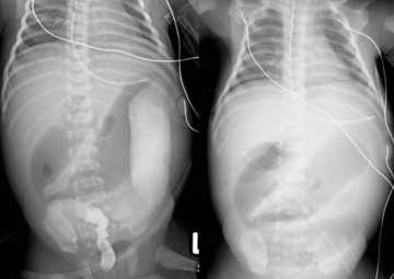
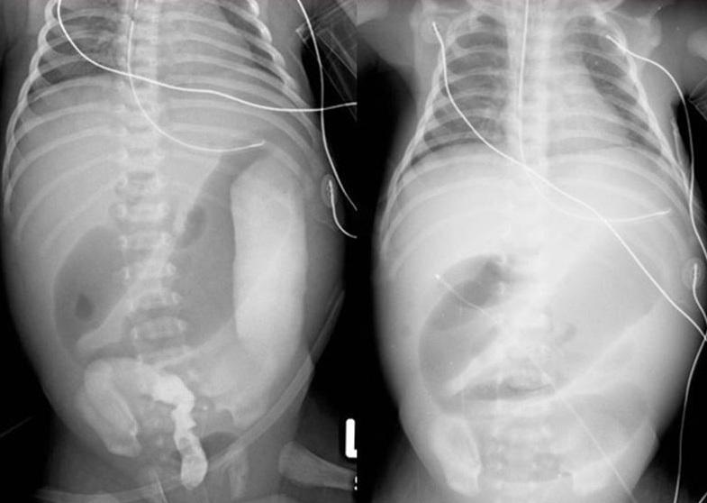
- рентгенография кишечника с контрастом.
ЛЕЧЕНИЕ БОЛЕЗНИ ГИРШПРУНГА
Зависит от формы и степени тяжести болезни Гиршпрунга. Если при лёгких и среднетяжелых формах возможно консервативное лечение с сохранением качества жизни, то при тяжёлой декомпенсированной форме необходима операция. Полностью ликвидировать причину болезни Гиршпрунга можно только удалив часть пораженного кишечника, где отсутствуют нервные окончания. Операция в большинстве случаев очень результативна. Функции толстого кишечника восстанавливаются практически полностью, клиника исчезает.
КОНСЕРВАТИВНОЕ ЛЕЧЕНИЕ
- Диета – около 60% рациона человека с проблемами опорожнения толстого кишечника должно занимать овощи и фрукты. Исключаются продукты с закрепляющим эффектом, такие как кофе, крепкий чай, шоколад, груши, изделия из очищенной белой муки. В рационе должно присутствовать достаточное количество растительных масел и кисломолочных продуктов. Питьевой режим из расчета 30 мл чистой сырой воды на килограмм веса тела в сутки;
- Пробиотики и пребиотики - препараты улучшающие состояние микробиоты кишечника;
- Витамины группы В, С и А;
- Массаж и гимнастика для улучшения перистальтики;
- Клизмы - в зависимости от тяжести простые или сифонные;
- Свечи. Для опорожнения кишечника можно использовать местнораздражающие препараты, такие как Микролакс, Глицериновые свечи;
- Слабительные средства. При некоторых формах болезни Гиршпрунга они могут хорошо работать. Самым безопасным средством является лактулоза - Дюфалак. Также можно использовать Сенаде, Форлакс, сернокислую магнезию, вазелиновое масло.
ПРОГНОЗ
Прогноз на излечение заболевания благоприятный. При легких формах болезни Гиршпрунга и соблюдении всех рекомендаций гастроэнтеролога качество жизни больных не страдает. Оперативное лечение болезни Гиршпрунга в абсолютном большинстве случаев приводит к полному восстановлению функции толстого кишечника.






Авторизуйтесь, чтобы проголосовать: