Инородное тело пищевода — это застрявшая в просвете органа еда или какой-то несъедобный предмет, проглоченный случайно или нарочно. Дети, которых среди пациентов с этой проблемой примерно 12%1, чаще всего глотают монеты, плоские батарейки-таблетки, магнитные шарики от конструкторов. У взрослых «ассортимент» разнообразнее: кости, зубные протезы, пакеты с психотропными веществами, гвозди, иголки.
Точная статистика частоты попадания инородных тел неизвестна, так как по приблизительным подсчетам 80% проглоченных предметов покидают организм естественных путем. Среди пациентов, обращающихся с характерными для инородного тела пищевода жалобами, собственно посторонний предмет находят примерно в 40% случаев. У остальных обнаруживают только вызванные им повреждения слизистой оболочки.
Классификация инородных тел пищевода
По характеру инородные тела могут быть органическими и неорганическими. Среди органических инородных тел отдельно выделяются трихобезоары — скопления волос, проглоченные пациентом (чаще всего с нестабильной психикой). Среди неорганических особенно опасны батарейки — под действием слабого электрического заряда или щелочи некроз стенки пищевода может наступить буквально за считанные часы.
По форме инородные тела пищевода могут быть округлыми, колющими, режущими, цилиндрическими, неправильной формы и так далее.
По способности поглощать рентгеновские лучи: рентгеноконтрастные и рентгенонеконрастные.
По количеству — одиночные и множественные.
Причины инородных тел пищевода
Если говорить о детях, то желание попробовать любой предмет на вкус — совершенная норма для малышей до трех лет. И именно дети этого возраста чаще всего попадают к хирургам с инородными телами пищевода.Что же касается взрослых, стандартная причина — торопливость и невнимательность при еде, недостаточно тщательно пережеванная пища, особенно на фоне употребления алкоголя. Отдельно стоит упомянуть привычку держать во рту мелкие гвозди, булавки и швейные иголки.
Кроме того, инородные тела пищевода могут возникать на фоне уже имеющейся патологии органа, когда нарушения перистальтики, рубцовые сужения, деформации, отеки затрудняют прохождение пищи по пищеводу.
Симптомы инородного тела пищевода
Прежде всего, пациент жалуется на боль в нижней части горла или за грудиной. Боль может быть колющей, ноющей, распирающей. Обычно она усиливается при глотании, но если под инородным телом начинаются изменения слизистой оболочки, то боль становится сильной и постоянной.
Кроме боли, пациенты жалуются на усиленное слюноотделение. На самом деле слюны не становится больше, просто человеку некомфортно ее сглатывать.
Возникает дискомфорт при глотании и нарушение прохождения пищи. Выраженность этих проявлений зависит от объема инородного тела, его формы и характера пищи. Обычно жидкости «проходят» свободно, а твердая еда «застревает».
При попытке «протолкнуть» инородное тело едой начинается срыгивание и рвота.
Если инородное тело находится в переходе между глоткой и пищеводом рядом с гортанью, то возможно нарушение дыхания из-за спазма или отека гортани. Нарушено дыхание может быть и из-за крупного инородного тела, сдавливающего трахею. В обоих случаях пациент жалуется на нехватку воздуха, постоянно надрывно кашляет, дыхание у него шумное, свистящее.
Если воспаление в месте нахождения инородного тела распространяется на всю толщину стенки пищевода и переходит на околопищеводную клетчатку, боль резко усиливается и начинает ощущаться чуть ниже, чем раньше. Резко повышается температура, а в области шеи появляется отек (инфильтрат).
Если инородное тело разрушает переднюю стенку пищевода, то может образоваться трахеопищеводный свищ. В этом случае любая попытка принять пищу или выпить воды вызывает ощущение удушья, а попавшая в легкие еда провоцирует воспаление, что проявляется высокой температурой и кашлем, часто с гнойной мокротой.
В случае, если инородное тело повреждает крупный сосуд, возможно опасное для жизни кровотечение, которое проявляется обильной рвотой с яркой кровью, головокружением, снижением артериального давления. Это происходит, если инородное тело острое и прокалывает стенку пищевода вместе с сосудистой стенкой, либо если в месте его фиксации возникает пролежень — омертвение тканей, которое распространяется на соседние органы.
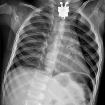
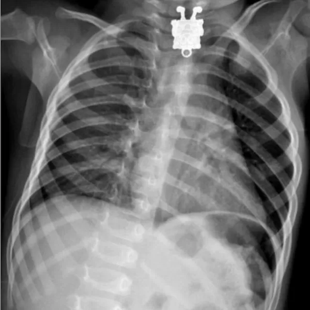
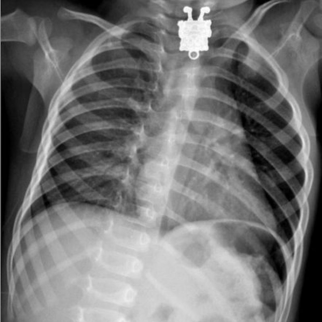
Диагностика инородного тела пищевода
Обследование пациента начинают с фарингоскопии (осмотра глотки) и зеркальной ларингоскопии (осмотра гортани с помощью зеркала). Основной метод диагностики — эзофагоскопия или эндоскопическое исследование пищевода. Оно позволяет увидеть и удалить предмет, а также оценить состояние окружающих тканей.
Экстренная (немедленно после поступления в медицинское учреждение) эзофагоскопия необходима при подозрении на батарейку или острый предмет в пищеводе. Пациентам с неострыми (кроме монет) инородными телами пищевода рекомендуется эндоскопия в течение 2 часов после попадания к врачу. При попадании в пищевод монеты можно отложить эндоскопию до 12 часов: высока вероятность, что она покинет организм естественным путем.
Но поскольку эндоскопия может быть недоступна (нет дежурного эндоскописта в небольшой больнице и т. д.), для диагностики инородного тела может использоваться рентгенограмма области шеи и грудной клетки в двух проекциях. Если инородное тело рентгенонеконтрастно (пластик, гидрогелевый шарик и т. п.), рентгенограмму делают с контрастом. Пациенту предлагают выпить непрозрачную для рентгеновских лучей бариевую взвесь, на фоне которой становится видно инородное тело.
Если позволяют технические возможности медицинского учреждения, при подозрении на воспаление околопищеводной клетчатки или трахеопищеводный свищ врач может назначить МРТ или КТ, бронхоскопию.
Лечение инородного тела пищевода
Как правило, лечение инородного тела пищевода сводится к эндоскопическому его удалению и назначению короткого курса антибактериальных препаратов для профилактики воспаления.
Если эндоскопическое удаление невозможно без грубого повреждения стенки пищевода, а также при признаках пролежня, перфорации пищевода и распространения инфекции на соседние органы, инородное тело удаляют хирургически. После операции также назначают антибактериальные препараты. Чтобы уменьшить боль после операции, рекомендуют анальгетики. Для восстановления слизистой оболочки назначают гастропротекторы на основе ребамипида.
Диета до и после операции должна быть максимально щадящей: прохладная полужидкая пища, максимально сбалансированная по содержанию белков, жиров, витаминов и микроэлементов. В раннем послеоперационном периоде возможно использование специальных питательных смесей.
Прогноз и профилактика инородного тела пищевода
Прогноз при инородном теле пищевода, как правило, благоприятный. Но при несвоевременном обращении к врачу, перфорации пищевода и распространении инфекции на соседние органы прогноз становится серьезным.
[1] Михеев А.В., Игнатов И.С. Редкое наблюдение инородного тела пищевода. Наука молодых, 2018 год.



Авторизуйтесь, чтобы проголосовать: