Хронический атрофический гастрит считается предшественником аденокарциномы – рака желудка, который на данный момент входит в топ-5 онкологических заболеваний в мире и занимает третье место в рейтинге смертности от рака. Основная опасность атрофического гастрита заключается в том, что он развивается незаметно: клетки вашего желудка медленно, но верно превращаются в кишечные, а слизистая оболочка истончается. Но вы об этом даже не догадываетесь, потому что нет симптомов. У кого высокий риск развития атрофического гастрита? И как избежать этого заболевания? Об этом пойдёт речь далее.
Почему развивается атрофический гастрит
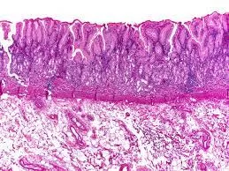
Бактерия Helicobacter pylori и аутоиммунные нарушения – вот основные виновники хронического атрофического гастрита. Но на H. pylori приходится подавляющее число случаев атрофии и кишечной метаплазии. Сначала инфекция вызывает хронический поверхностный гастрит, который в отсутствие лечения со временем трансформируется в атрофический. На этой стадии у человека прогрессирует развитие патологических изменений слизистой оболочки ЖКТ и возрастает вероятность рака желудка: уменьшается количество обкладочных желез (именно они вырабатывают желудочный сок), и они частично замещаются кишечным эпителием (это явление называют кишечной метаплазией – когда ткани желудка превращаются в чужеродные ткани кишечника).
– Рак в желудке не возникает на пустом месте. Процесс появления опухоли проходит в несколько стадий, и один из этапов – кишечная метаплазия. Это значит, что клетки кишечника появились в желудке. Они не пришли сюда из кишечника – это собственные клетки желудка, которые изменили свои свойства. Если ничего не делать, может развиться аденокарцинома – рак желудка, – говорит кандидат медицинских наук, врач-гастроэнтеролог Сергей Вялов.
В связи с тем, что H. pylori имеется у 50-70% людей, потенциальный риск развития атрофического гастрита среди мирового населения достаточно высок. К сожалению, хронический атрофический гастрит обычно диагностируют поздно, потому что у больных, как правило, долго нет жалоб. Заболевание может протекать бессимптомно годами, а вскрыться уже на стадии карциномы желудка.
Чтобы этого не произошло, людям из группы риска важно делать диагностику желудочно-кишечного тракта. В первую очередь, это пациенты старше 50 лет, больные с В12-дефицитной (так называемой злокачественной) анемией и люди, у которых в семейной истории есть случаи тяжелых заболеваний желудка и кишечника.
Что делать пациенту с подозрением на атрофический гастрит
При подозрении на атрофический гастрит всех пациентов, в первую очередь, направляют на два исследования – анализ на Helicobacter pylori и гастропанель.
Зачем это нужно? По словам практикующего врача-гастроэнтеролога Марии Лопатиной, если обнаружится бактерия H. pylori (а именно так происходит в 90% случаев), больной должен пройти эрадикационную терапию. Подробнее о ней мы писали здесь. Эрадикация – это по сути профилактика рака желудка, потому что она помогает устранить причину атрофического гастрита – инфекцию H. pylori – и прогрессирование заболевания.
Гастропанель (пепсиноген I, II, соотношение пепсиноген I и пепсиноген II, гастрин-17) – это исследование, которое показывает, в каком отделе желудка появилась атрофия и чем она вызвана – Helicobacter pylori или аутоиммунным процессом. При подозрении на аутоиммунный гастрит рекомендуют дополнительное обследование (чтобы не допустить ошибки в диагнозе) – на антитела к париетальным клеткам, внутреннему фактору, а также на ферритин и витамин В12.
При подтверждении атрофии по гастропанели доктор Лопатина советует пройти гастроскопию экспертного уровня с биопсией по OLGA – «чтобы понимать, с какой стадией атрофии мы имеем дело и не пропустить ранний рак желудка».
– Самый частый вопрос от пациентов с атрофическим гастритом: что можно принимать? В этом случае я рекомендую ребагит. Предупреждаю, что будет длительный курсовой приём препарата в течение 1 года, – >пишет в своём блоге врач-гастроэнтеролог Мария Лопатина.
– В исследовании 206 пациентов назначение ребамипида после эрадикации H. pylori в течение 52 недель показало достоверное уменьшение воспаления в слизистой желудка в подгруппе, принимавшей ребамипид.
– Другое исследование оценивало влияние ребамипида на метаплазию при хроническом гастрите, участвовало 178 пациентов, принимавших ребамипид течение 26 недель. Было выявлено, что в группе пациентов, принимавших ребамипид, уменьшались показатели кишечной метаплазии.
После обследования и лекарственной терапии пациент с атрофическим гастритом обязан продолжить наблюдение у врача-гастроэнтеролога – чтобы не пропустить рак желудка. Если по OLGA выявлена атрофия без дисплазии, гастроскопию экспертного уровня с биопсией необходимо выполнять с периодичностью 1 раз в 1–3 года. При наличии дисплазии, контроль проводится 1 раз в полгода.
Осложнения атрофического гастрита
Типичные осложнения, которые вызывает хронический атрофический гастрит:
- Ахлоргидрия — состояние, при котором в желудочном соке снижена или полностью отсутствует соляная кислота. На этом фоне у человека нарушается процесс пищеварения
- Из-за ахлогидрии развивается гипергастринемия – повышение уровня гастрина (гормона, который может спровоцировать язву желудка, 12-перстной кишки, а также гастроэзофагеальную рефлюксную болезнь (ГЭРБ)
- Макроцитарная анемия (внутренний фактор аутоиммунного гастрита)
- Хроническая железодефицитная анемия
- Язва двенадцатиперстной кишки/желудка
- Доброкачественные стриктуры привратника – короткой части желудка в месте его перехода в 12-перстную кишку
- Геморрагический гастрит
- Аденокарцинома желудка (распространенный вид рака желудка)
- Карциноидная опухоль желудка (более редкий вид рака желудка)
Если ли шанс предупредить развитие атрофического гастрита
Единственный способ не допустить развития атрофического гастрита – вовремя вылечить поверхностный гастрит. Для этого нужно проявить внимание к своему здоровью. Если у вас регулярно появляется дискомфорт или боль в животе, вздутие, метеоризм, изжога и другие неприятные симптомы со стороны пищеварительной системы, обратитесь к врачу-гастроэнтерологу и пройдите обследование. Как минимум, нужно сделать анализ на Helicobacter pylori и гастроскопию.
Если обнаружится инфекция H. pylori, вы сможете вовремя, не допуская изменения тканей желудка, пройти эрадикационную терапию антибиотиками и ингибиторами протонной помпы, а затем – восстановить слизистую оболочку при помощи препаратов-гастропротекторов (Ребагит).

Авторизуйтесь, чтобы проголосовать: