Амёбиаз (амёбная дизентерия) — заболевание, вызванное протозоозом (одноклеточным паразитом). Механизм передачи инфекции фекально-оральный, в основном через продукты питания и воду. Заболевание часто переходит в хроническую форму и характеризуется появлением язв в толстом кишечнике, возможно также образование абсцессов в печени, головном мозге, лёгких.
ЭТИОЛОГИЯ
Возбудителем амебиаза является Entamoeba histolytica. В жизненном цикле данного простейшего организма выделяют две стадии:
- Вегетативная (или трофозоит), то есть активная, способная к размножению амёба. Она паразитирует в организме человека и подразделяется на две формы: мелкую, живущую в просвете кишечного тракта, и крупную, находящуюся в тканях, оболочках толстой кишки.
- Стадия покоя (циста). Образуется из крупной тканевой формы по мере роста и поглощения эритроцитов. Сначала появляется предциста, затем циста.
Данная форма наиболее устойчива к неблагоприятным факторам окружающей среды. Например, при температуре -20 С циста сохраняется до 3 месяцев. Также цисты устойчивы к хлору и озону, но разрушаются при высушивании и воздействии высоких температур.
Именно цистами и заражается человек. Через рот они попадают в желудочно-кишечный тракт, в толстом кишечнике разрушается наружная оболочка цист, после чего из них высвобождаются амёбы. Они в свою очередь делятся, превращаются в просветные формы и внедряются в ткань кишки, что сопровождается воспалением и формированием язв (кишечная форма).
ЭПИДЕМИОЛОГИЯ
Источником заражения служит больной или носитель, выделяющий с калом зрелые цисты. Передача инфекции происходит через зараженную воду, предметы быта, но чаще всего через немытые овощи, фрукты и зелень. Переносчиками амёб могут послужить тараканы и мухи.
Сезонность заболевания летняя. В России встречаются преимущественно завозные случаи, либо единичные заражения в южных регионах страны. После перенесенного амёбиаза иммунитет формируется нестойкий, что часто приводит к хронизации или вероятности повторного инфицирования.
ПАТОГЕНЕЗ
В процессе паразитирования амёбы повреждают оболочку толстого кишечника, вызывая некроз (разрушение клеток) и образование язв. Чаще всего это происходит в слепой, прямой и сигмовидной кишке. С током крови амёбы способны попадать в другие органы и провоцировать абсцессы, например, в печени, лёгких, головном мозге или поджелудочной железе.
КЛИНИКА
У 90% людей, инфицированных амёбами, нет никаких проявлений, они являются бессимптомными носителями. И только у остальных 10% заболевших формируется инвазивный амёбиаз с клиническими симптомами.
Выделяют две основные клинические формы амёбиаза:
1) Кишечная форма
Преимущественно поражается прямая и сигмовидная кишка, заболевание протекает по типу колита. Пациента беспокоит частый жидкий кашицеобразный стул скудного объёма с обильными примесями слизи и крови (стул по типу “малинового желе”), наличие тенезм (болезненные и ложные позывы на дефекацию), а также императивные (неотложные) позывы на дефекацию. Характерно наличие болей в животе, чаще в нижней половине с левой стороны или болезненность в области заднего прохода.
За редким исключением, когда происходит поражение червеобразного отростка, заболевание может протекать по типу аппендицита - с резкими острыми болями в правой подвздошной области (в нижней половине живота справа), повышением температуры, тошнотой, рвотой.
В свою очередь кишечная форма подразделяется на:
- острый амёбиаз, когда все симптомы появляются быстро и внезапно. А именно: выраженный диарейный синдром с развитием обезвоживания, тошнота, рвота, явления интоксикации (повышение температуры тела, головная боль, слабость);
- некротизирующая форма или фульминантный колит характеризуется наиболее тяжёлым течением с развитием острых язвенных дефектов в стенке кишечника, возникновением кишечного и внутрибрюшного кровотечения, затем выходом содержимого кишечника в брюшную полость и, как следствие, развитием перитонита. Данная форма без своевременного оперативного лечения приводит к летальному исходу;
- затяжная форма или хронический амебиаз протекает длительно с менее выраженными симптомами. Часто проявляется чередованием запоров и поноса, пациента периодически беспокоят боли внизу живота, тошнота, плохой аппетит, при длительном течении заболевания нарастают симптомы анемии со снижением гемоглобина, гиповитаминоза, дисбиоза (нарушения микрофлоры кишечника). При отсутствии коррекции состояния и лечения происходит истощение организма вплоть до кахексии (наиболее тяжелой формы).
2) Внекишечная форма
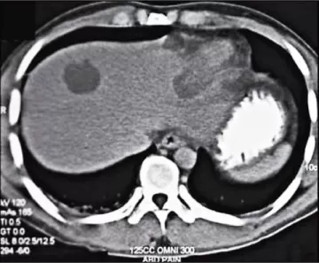
Наиболее часто встречающейся внекишечной формой амёбиаза является абсцесс печени, который в большинстве случаев формируется в правой доле печени. Клинически характеризуется высокой лихорадкой до 39-40 градусов с ознобом, повышенным потоотделением, болями в правом боку, развитием желтухи.
К редким внекишечным формам относят:
- плевролегочный амёбиаз, характеризующийся болью в грудной клетке, кашлем, одышкой, большим количеством мокроты с гноем и кровью, лихорадкой и интоксикацией;
- амебный перикардит - это поражение сердечной “сумки”. Опасен прорывом гнойного содержимого, развитием тампонады и остановки сердца;
- абсцесс головного мозга чаще всего развивается в левом полушарии, имеет молниеносное течение с летальным исходом;
- поражение кожи проявляется наличием язв в области половых органов или заднего прохода.
ОСЛОЖНЕНИЯ АМЁБИАЗА
- Перфорация, то есть дефект, отверстие в стенке кишечника;
- Перитонит (заражение брюшной полости);
- Абсцесс брюшной полости;
- Аппендицит;
- Стриктуры (сужения) просвета кишечника;
- Кишечное кровотечение;
- Амёбома - опухолевидное образование в стенке кишечника.
ДИАГНОСТИКА АМЁБИАЗА
Основные методы диагностики заболевания:
- кал по Като - выявление в пробе кала через микроскоп вегетативных форм и цист амёб. С этой целью делают мазок и окрашивают раствором Люголя или метиленовым синим. Важно использовать только свежую пробу кала;
- исследование кала методом обогащения - эфирформалиновое осаждение с выявлением цист;
- ПЦР кала на выявление ДНК возбудителя амёбиаза.
К дополнительным методам диагностики относят:
- колоноскопию с биопсией;
- УЗИ, КТ, рентгенографию органов брюшной полости;
- ИФА крови, НРИФ на выявление антител амёбы;
- общий и биохимический анализы крови.
ЛЕЧЕНИЕ
Медикаментозное лечение пациентов, выделяющих цисты подразделяется на два этапа:
- приём тканевых амёбоцидов (метронидазол, орнидазол, хлорохин);
- приём просветных амёбоцидов (дилоксанида фуорат, этофамид, паромомицин)
Для лечения носителей, не выделяющих цист, используют препараты только второй группы.
При высоком риске перитонита используют тетрациклин, доксициклин.
В зависимости от формы заболевания используют симптоматическое лечение, например, при абсцессе печени с явлениями желтухи применяют гепатопротекторы. Доказанная эффективность имеется у препаратов, содержащих урсодезоксихолевую кислоту (УДХК). Урсосан укрепляет иммунную систему, защищает клетки печени от токсинов и паразитов, останавливает развитие фиброза, то есть профилактирует цирроз печени.
Также при амебиазе больному показана лечебная диета (Стол №2 и Стол №4).
ДИСПАНСЕРНОЕ НАБЛЮДЕНИЕ
Переболевшие наблюдаются у инфекциониста в течение 1 года с проведением обследования каждые 3 месяца.
ПРОФИЛАКТИКА
- соблюдение правил личной гигиены, мытье рук;
- обработка фруктов, овощей и зелени перед употреблением;
- употребление только очищенной или кипяченой воды.







.png)
Авторизуйтесь, чтобы проголосовать: