Непроходимость пищевода — это патологическое состояние, при котором нарушено движение пищи по пищеводу из-за его сужения. Сужение может быть вызвано рубцовыми изменениями (стеноз), давлением извне из-за патологических изменений в соседних органах (внешняя компрессия) или перекрытием просвета органа опухолью либо инородным телом (обтурация).
Причин этой патологии — множество. Известно, что рак пищевода, который рано или поздно приводит к непроходимости органа, находится на третьем месте среди всех злокачественных новообразований желудочно-кишечного тракта и на шестом месте среди всех злокачественных опухолей1. Что касается доброкачественных причин непроходимости пищевода, на долю рубцовых сужений, вызванных ожогами, приходится примерно 69%, тогда как рубцовые изменения вследствие хронического эзофагита составляют около 22%2.
Классификация непроходимости пищевода
По происхождению непроходимость бывает врожденной или приобретенной. Врожденная непроходимость (атрезия пищевода) может быть как следствием генетической патологии, так и результатом нарушения внутриутробного развития. Приобретенная развивается как следствие различных патологических процессов.
В зависимости от патологического процесса, вызвавшего непроходимость, она может может быть доброкачественной или злокачественной. Злокачественной называют непроходимость, вызванную раком пищевода или органов средостения; доброкачественной — возникшую по причинам, не связанным с онкологической патологией.
Кроме того, непроходимость пищевода различают в зависимости от степени сужения просвета органа:
- диаметр в самом узком участке 9–11 мм, проходит эндоскоп среднего калибра;
- диаметр 6–8 мм, проходит фибробронхоскоп;
- диаметр 3–5 мм, проходит ультратонкий фиброскоп;
- диаметр <3 мм, непроходим для эндоскопического оборудования.
Причины непроходимости пищевода
Все возможные причины нарушения проходимости пищевода можно свести к нескольким основным группам.
Злокачественные новообразования собственно пищевода или органов средостения (трахеи, крупных бронхов, лимфатических узлов). По мере роста опухоли перекрывается просвет органа, нарушая движение пищевого комка.
Послеожоговые стенозы. Это рубцовые сужения пищевода, оставшиеся после химических ожогов. Они возникают после случайного или преднамеренного употребления внутрь концентрированных кислот или щелочей. Особенно опасны в этом отношении щелочи: в отличие от кислот они не образуют струп, препятствующий проникновению вещества вглубь стенки органа, а, напротив, разрыхляют ее. Из-за этого ожоги оказываются глубже и серьезнее по последствиям.
Рецидивирующие эзофагиты. Это хронические воспаления пищевода, вызванные теми или иными причинами. Постоянное воспаление рано или поздно приводит к рубцовым изменениям, а те, в свою очередь, — к сужению просвета органа.
Кольца пищевода. Это тонкие концентрические выпячивания в просвет пищевода, в состав которых входят все три слоя стенки: слизистая, подслизистая и мышечная. Причины их появления до конца неизвестны. Некоторые авторы предполагают, что это изменения воспалительного характера, другие считают, что кольца пищевода связаны с нарушением моторики органа. Чаще всего протекают бессимптомно, но если формируются в больших количествах, могут нарушить проходимость пищевода.
Врожденные патологии. Так называемая атрезия пищевода — это порок развития, который обнаруживается в ближайшие часы после рождения ребенка. Необходима операция, во время которой заново формируют пищевод.
Прочие. В эту группу входят такие относительно редкие причины непроходимости пищевода, как туберкулез, склеродермия, третичный сифилис, травмы и инородные тела, дивертикулы пищевода и другие патологии.
Симптомы непроходимости пищевода
Основной признак непроходимости пищевода — это дисфагия, или нарушение глотания. В зависимости от степени сужения просвета органа и характера пищи выраженность этого симптома может варьироваться. Так, жидкая или полужидкая пища может свободно проходить в желудок, тогда как твердая сразу же вызывает боль за грудиной, отрыжку, рвоту. По мере сужения просвета симптоматика нарастает. Поскольку больной не может полноценно питаться, он теряет вес, появляются признаки недостаточности питательных веществ (анемия, отеки, остеопороз и др.).
Отдельно следует отметить симптомы непроходимости, вызванной кольцами пищевода. Для этой патологии нехарактерны долгие постоянные нарушения глотания. Обычно проблема возникает внезапно, во время торопливой еды или еды всухомятку. Приступ относительно краткосрочный и проходит после приема жидкости или рвоты. Нередко он возникает при употреблении жареного мяса, в зарубежной литературе иногда именуется «стейк-синдромом». Между приступами нарушения глотания, вызванными кольцами пищевода, могут проходить месяцы и даже годы.
Диагностика непроходимости пищевода
В современных условиях основной метод диагностики непроходимости пищевода — эзофагоскопия. Это эндоскопическое обследование, во время которого врач может оценить степень сужения пищевода, его проходимость, состояние слизистой оболочки. Если это необходимо, во время эзофагоскопии можно взять биопсийный материал — ткани для дальнейшего исследования под микроскопом.
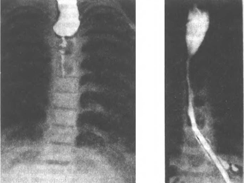
В случае, если эндоскопия невозможна из-за отсутствия оборудования или крайней степени сужения пищевода, для диагностики непроходимости применяют рентгенографию. Пациенту дают выпить смесь, содержащую соли бария, непроницаемые для рентгеновских лучей. После этого делают серию снимков, позволяющих оценить уровень и распространенность сужения пищевода, а также моторику его стенок.
При наличии технической возможности могут быть рекомендованы КТ и МРТ, позволяющие более точно определить продолжительность и степень сужения пищевода, но из-за высокой стоимости их используют относительно редко.
В случае, если у пациента есть признаки недостаточного питания, для оценки степени трофических нарушений организма рекомендуют клинический и биохимический анализы крови. Они позволяют выявить возможные дефициты железа, белка, других микро– и макроэлементов.
Лечение непроходимости пищевода
Лечение непроходимости пищевода исключительно оперативное. Традиционный метод — бужирование. В просвет пищевода вводят специальные расширители — бужи, меняя их диаметр от меньшего к большему. Используется также баллонная дилатация — в просвет пищевода вводят баллон, который, расширяясь, растягивает стенки пищевода. Также возможно рассечение рубца во время эндоскопической операции. При опухолевых поражениях пищевода и невозможности радикальной операции иссекают часть опухоли, перекрывающую просвет органа, и устанавливают на этот участок стент, который препятствует повторному сужению пищевода.
В составе комплексной терапии назначают препараты для парентерального питания (внутривенного введения питательных веществ), витаминно-минеральные комплексы, гастропротекторы, способствующие восстановлению слизистой оболочки после операции (Ребагит).
Прогноз и профилактика непроходимости пищевода
Прогноз во многом зависит от природы сужения пищевода и возможности парентерального питания. По сравнению со стенозами, вызванными злокачественной опухолью, доброкачественные обычно имеют лучший прогноз. Специфической профилактики патологии не существует.
[1] А.В. Янкин. Рак пищевода: от статистики к диагностике. Практическая онкология, 2003.
[2] В.Л. Белевич, Д.В. Овчинников. Доброкачественные стенозы пищевода и его анастомозов: состояние проблемы. Вестник российской военно-медицинской академии, 2012.




Авторизуйтесь, чтобы проголосовать: